Investigation of the use of self-cleaving intein tag including chitin binding domain in the recombinant production of MPT64, the immunogenic protein of M. tuberculosis
Ece Aksoy1, Burcu Saygıner1, Tanıl Kocagöz1,2*, Erkan Mozioğlu1*
1 Acibadem Mehmet Ali Aydinlar University, Institute of Health Sciences, Medical Biotechnology Department, İstanbul, Türkiye
2 Acibadem Mehmet Ali Aydinlar University, School of Medicine, Department of Medical Microbiology, İstanbul, Türkiye
*Corresponding:
tanil.kocagoz[at]acibadem.edu.tr ; tanilkocagoz[at]gmail.com– ORCID: 0000-0001-7211-2026
erkan.mozioglu[at]acibadem.edu.tr ; erkanmozioglu[at]yahoo.com– ORCID: 0000-0002-3027-5166
Received: 11th March 2025
Accepted: 24th June 2025
Published: 30th June 2025
Abstract
Tuberculosis (TB), caused by Mycobacterium tuberculosis, remains a global public health challenge, largely due to diagnostic limitations. Current diagnostic methods, including the Tuberculin Skin Test (TST), often yield false positives due to cross-reactivity with the Bacillus Calmette-Guérin (BCG) vaccine. MPT64 protein, a component of the Purified Protein Derivative (PPD) used in TST and can be used to improve the specificity of TB diagnosis. In this study, it was investigated the feasibility of using self-associated intein protein and chitin binding tag in the recombinant production of MPT64 protein. For this purpose, MPT64 coding DNA sequences were cloned into two different plasmid vectors, pTXB1 and pTYB21, and expression conditions were investigated. In the conditions of enriched medium, the expression was more successful in the pTYB21vector. Both E. coli ER2566 and E. coli BL21(DE3) Rare were used as hosts. Since the recombinant protein was obtained as an inclusion body, urea was used for solubilization. Since urea was incompatible with the chitin column, refolding was achieved by dialysis. These additional steps resulted in a decrease in the protein yield.
Keywords: M. tuberculosis, recombinant, MPT64 protein, chitin binding protein, intein tag.
Abbreviations: N/A.
Introduction
Tuberculosis is a disease caused by Mycobacterium tuberculosis bacillus and is spread when infected people release the bacteria into the air, by coughing, etc.[1,2] It is estimated that a quarter of the world’s population carry the bacteria.[1] The risk of acquiring tuberculosis is higher in the first 2 years of infection, at around 5%, but the risk decreases thereafter.[1] It is observed that 90% of the annual cases of tuberculosis occur within adults with a higher prevalence in men. [1] In 2023, it is estimated that 1.25 million people have died from tuberculosis.[1] Based on the data, 87% of those infected with tuberculosis were in 30 countries, equivalent to 56% of the global total, including India, Indonesia, China, the Philippines, and Pakistan. [1]
Chest radiography is usually the first test to evaluate respiratory symptoms.[3] Although it has a specificity of 54-60%, this test can be helpful in identifying the presence of lung disease. [3] Other supportive diagnostic tools include microscopy, culture or molecular testing.[3-5] In vivo tests are tuberculin skin test (TST) and tuberculosis-specific skin tests (TBSTs). [3-6] Basically, TST detects the response against the injected reagent called purified protein derivative (PPD).[7] This response is called delayed-type hypersensitivity (DTH). [8] It takes 48 to 72 hours to give results to the patients by measuring the size of the inflammation on the forearm where injection is done. [9] The size of the induration gives information about patient’s immunity. If measured induration is smaller than 10 mm, it is interpreted as negative result. Induration of above or equal to 10 mm is accepted as positive result. [7] In a person vaccinated with BCG, this diameter is accepted as 15 mm as the cut off value to discriminate between negative and positive. Before PPD, Old Tuberculin (OT) was used by Robert Koch in 1890. [10] OT was first obtained as protein mixture of tubercle bacillus. [9] Later, a developed version of OT was produced and named as PPD. [9] OT left its place to PPD for a better and standardized reagent. [9] It is obtained by extracting and precipitating proteins from culture of Mycobacterium tuberculosis.[9]
Tuberculin Skin Test has shown changes throughout the time, but the low specificity problem remained unsolved. While results are interpreted correctly with high sensitivity, specificity is low due to Bacillus Calmette-Guerin (BCG) vaccinated people. [11] Test is simple yet has low specificity as a disadvantage since some antigens are in common both in PPD and BCG vaccine. [11] Common antigens of both result in giving positive result for vaccinated people. [11]
BCG vaccine is an attenuated strain of Mycobacterium bovis. There are various vaccines with different qualities. The strain used for vaccine does not have region of difference 2 (RD-2) which makes it different from strain used for PPD production. [12] This is the region that contains specific antigens such as MPT64 (24 kDa), ESAT-6 (6kDa), CFP10 (10 kDa) etc. This region also creates the difference by expressing these proteins to separate Mycobacterium tuberculosis from other mycobacteria. [13]
MPT64 is one of the proteins that is found in PPD which is a mixture of proteins obtained from Mycobacterium tuberculosis. So, this protein has the potential to be used alone in TST rather than using PPD, the protein mixture that can give false positive results due to BCG vaccination. Using an immunogenic protein MPT64 may give more specific results in TST. [14]
This study aimed to determine the feasibility of recombinant production of MPT64 proteins as a fusion of self-cleaving intein proteins and chitin binding tags. For this purpose, the MPT64 coding gene was cloned into two different vectors, pTXB1 and pTYB21; expression conditions were optimized, and chitin column purification possibilities were investigated.
Materials and Methods
- Isolation of Mycobacterium tuberculosis H37Ra
A loopful of Mycobacterium tuberculosis H37Ra grown in Löwenstein-Jensen media was put into 1 mL of buffer (10 mM Tris, pH 8.0 and 1 mM EDTA) and the tube was boiled for 5 minutes at 100°C. After centrifugation for 3 minutes at 15000xg, supernatant was used for amplification.
- Amplification of mpt64 Gene
Primers for PCR were designed on SnapGene Software (GSL Biotech LLC, USA).[15] For cloning of mpt64 into pTXB1 (NEB-IMPACT Kit, E6901S), 5’-GGTGGTCATATGGTGCGCATCAAGATCTTCATGC-3’ as forward primer and 5’-GGTGGTTGCTCTTCCGCAGGCCAGCATCGAGTCGAT-3’ as the reverse primer were designed. For cloning of mpt64 into pTYB21 (NEB-IMPACT Kit, E6901S), 5’-GGTGGTTGCTCTTCCAACGTGCGCATCAAGATCTTCA-3’ as forward primer and 5’-GGTGGTCTGCAGTCACTAGGCCAGCATCGAGTCGAT-3’ as the reverse primer were designed.
Amplification of mpt64 including restriction site for cloning into pTXB1 was done with GeneMark Master Mix II (5X) (Cat# RP02-II-400) in 30 cycles with conditions of initial denaturation, denaturation, annealing, extension and final extension being 94°C for 5 minutes, 94°C for 1 minute, 60°C and 72°C (for PCR optimization) for 1 minute, 72°C for 1 minute and 72°C for 5 minutes, respectively.
Amplification of mpt64 including restriction site for cloning into pTYB21 was done with GeneMark Master Mix II (5X) (Cat# RP02-II-400) in 30 cycles with conditions of initial denaturation, denaturation, annealing, extension and final extension being 94°C for 5 minutes, 94°C for 1 minute, 62°C and 75°C (for PCR optimization) for 1 minute, 72°C for 1 minute and 72°C for 5 minutes, respectively.
PCR amplification of mpt64 coding DNA sequence was performed in a total volume of 25 µL. Each reaction was set up with final concentrations of 0.4 µM primers (forward and reverse), 1X PCR Master Mix (Genemark) as well as Mycobacterium tuberculosis H37Ra genomic DNA.
- Cloning of Target Gene in E. coli ER2566
MPT64 gene amplicons and vectors (pTXB1 and pTYB21) were digested by two restriction enzymes. SapI (NEB, Cat# 0169S) and NdeI (NEB, Cat# R0111S) enzymes were used for the pTXB1 vector, while SapI (NEB, Cat# 0169S) and PstI-HF (NEB, Cat# R3140S) enzymes were used for the pTYB21 vector. Digestion experiments were performed following the manufacturer’s instructions and reactions were performed at 37°C for 1 hour. [16]
The digested products were used for ligation which was performed using T4 DNA Ligase (Takara, Japan, Cat#2011A) at 16°C for 1 hour.[17] Three different molar ratios of vector to insert (1:3, 1:5, and 1:10) were performed. The ligation products were subsequently transformed into competent E. coli ER2566 cells by heat shock.[18] Briefly, E. coli ER2566 with the MPT64 plasmid, competent cells were prepared by culturing in Luria Bertani (LB) medium (Merck, Germany, #L3522) until OD600 reaches 0.5, chilling on ice, and treating with CaCl2. 5 uL of ligation product was added to 100 µL of these competent cells, followed by incubation on ice for 30 minutes, a 90 second heat shock at 42°C, and immediate placement back on ice. After adding 900 µL of LB broth, the cells were incubated at 37°C for 45 minutes to allow recovery and expression of the antibiotic resistance gene. The cells were then plated on LB agar plates containing 100 ug/mL ampicillin (Menarini, Italy) and incubated overnight at 37°C. For colony PCR, individual colonies were picked and used as templates in PCR with primers designed to flank the insert region. The PCR involved cycles of denaturation, annealing, and extension to amplify the region of interest, which was then verified via agarose gel electrophoresis.
Confirmation of the cloned mpt64 was done by Sanger sequencing (Eurofins Genomics, Germany). After colony PCR, successfully cloned colonies were chosen randomly and sent to sequencing. pTXB1 containing mpt64 was confirmed with 5’-GGTGGTCATATGGTGCGCATCAAGATCTTCATGC-3’ and 5’-TAATACGACTCACTATAGGG-3’ which is T7 universal primer. pTYB21 containing mpt64 was confirmed with 5’-AGGAAGACGATTATTATGGG-3’ and 5’-AAAAAACCCCTCAAGACC-3’ primers designed for sequencing purposes only.
Expression of MPT64 Protein
In E. coli ER2566 with pTXB1 vector
Expression of MPT64 protein was first performed in E. coli ER2566 containing mpt64 with pTXB1. [19] Briefly, E. coli ER2566 containing pTXB1 were grown in LB Broth media (100 µg/mL ampicillin). When OD600 value of culture reached 0.5, 0.1-1 mM isopropyl β-D-thiogalactopyranoside (IPTG) (Sigma-Aldrich, USA, #I6758) was added, and culture was incubated at 200 rpm and 37°C for 4 hours. After the induction of protein expression, cell pellet obtained by centrifugation at 5000xg for 15 minutes at 4°C and then was resuspended in column buffer (20 mM Tris-HCl pH 8.5, 500 mM NaCl, 0.5% Triton X-100). Resuspended pellet homogenized for 5 minutes with 30 seconds on and 30 seconds off on ice by sonication. Homogenized cell pellets were spun down for 45 minutes at 10,000xg and 4°C. Supernatant and pellet were used in further analysis.
In E. coli ER2566 with pTYB21 vector
Expressionof MPT64 protein was also performed in E. coli ER2566 containing mpt64 with pTYB21.[19] Briefly, bacterial cells were grown in LB Broth media. Additionally, different culture media such as Mueller-Hinton, Tryptic Soy, Brucella, Brain-Heart Infusion (BHI) and LB Broth (all containing 100µg/mL ampicillin) for the optimization of expression was done. When OD600 value of culture was reached 0.5, 0.4 mM of IPTG was added and the culture was incubated by shaking at 200 rpm and 37°C for 4 hours. After the induction of protein expression, cell pellet obtained by centrifugation at 5000xg for 15 minutes at 4°C and then was resuspended in column buffer (20 mM Tris-HCl pH 8.5, 500 mM NaCl, 0.5% Triton X-100). Resuspended pellet was homogenized for 5 minutes with 30 seconds on and 30 seconds off on ice by sonication. Then, the pellet was centrifuged for 45 minutes at 10,000xg and 4°C. Supernatant and pellet were used in further analysis.
The contribution of enriched BHI medium in expression was investigated. This medium contained BHI supplemented with 0.15% of peptone, 0.15% of tryptone, MgCl2 of 0.03% and 0.4% of glycerol. In this medium, 5 mL of bacterial culture was grown overnight, and fresh culture was prepared in 200 mL of the same medium. After incubation at 37oC with shaking at 220 rpm and OD600 of 0.5, IPTG was added at a final concentration of 1 mM and incubated for 5 hours at 37oC with shaking at 220 rpm. The bacterial culture was then centrifuged at 10,000xg for 10 minutes and the supernatant discarded. The bacterial pellet was suspended in 20 mL of 50 mM Tris buffer (pH 8.0) containing 1 mM EDTA. 100 µL of 20 mg/mL Lysozyme and 20 µL of 20 mg/mL DNAse I were added to the suspension and incubated for 30 min at room temperature. After ultrasonication for 5 minutes, the tubes were centrifuged at 10,000xg for 1 hour at +4oC. After removal of the supernatant, the pellet was suspended in 50 mM Tris (pH 8.0) buffer containing 1 mM EDTA and all samples were run on 12% SDS PAGE. For SDS-PAGE, resolving gel (12%) with stacking gel (4%) was prepared. Protein samples were mixed with 3X loading buffer (NEB, USA; Cat# B7703) and subsequently loaded onto a polyacrylamide gel. Electrophoresis was performed at 110 V for 90 minutes. Following separation, the gel was stained overnight with Coomassie Brilliant Blue staining solution. The next day, the gel was washed three times with destaining buffer (5:4:1 ratio of distilled water:methanol:acetic acid), each for 30 minutes. The resulting gel image was captured using a ChemiDoc imaging system (Bio-Rad, USA).
In E. coli BL21(DE3) Rare with pTYB21 vector
The contribution of BL21(DE3) Rare bacteria encoding rare codons to the expression of the MPT64 protein in the pTYB21 vector was investigated.[20] After transformation, the bacteria were expressed in enriched BHI medium supplemented with 0.15% of peptone, 0.15% of tryptone, MgCl2 of 0.03% and 0.4% of glycerol. In this medium, 5 mL of bacterial culture was grown overnight, and fresh culture was prepared in 200 mL of the same medium. After incubation at 37oC with shaking at 220 rpm and OD600 of 0.5, IPTG was added to a final concentration of 1 mM and incubated for 5 hours at 37oC with shaking at 220 rpm. The bacterial culture was then centrifuged at 10,000xg for 10 minutes and the supernatant discarded. The bacterial pellet was suspended in 20 mL of 50 mM Tris buffer (pH 8.0) containing 1 mM EDTA. 100 µL of 20 mg/mL Lysozyme and 20 µL of 20 mg/mL DNAse I were added to the suspension and incubated for 30 min at room temperature. After ultrasonication for 5 min, the tubes were centrifuged at 10,000xg for 1 hour at +4oC. After removal of the supernatant, the pellet was suspended in 50 mM Tris (pH 8.0) buffer containing 1 mM EDTA and all samples were run on 12% SDS PAGE.
Purification of MPT64 Protein
The purification steps from the chitin column followed the steps recommended by the IMPACT (Intein Mediated Purification with an Affinity Chitin-binding Tag) Kit (NEB-IMPACT Kit, E6901S).[21] Briefly, inclusion bodies containing the MPT64 protein were processed by resuspending the in the lysis buffer consisting of 50 mM Tris-HCl, 500 mM NaCl, and 7 M Guanidine-HCl at pH 8.0. Then, the solubilized proteins were subjected to gradual dialysis to allow proper protein refolding. This process started with Buffer A containing 8 M urea, 20 mM Tris-HCl, and 500 mM NaCl, pH 8.0. This was followed by stepwise dialysis against decreasing concentrations of urea in Buffers B (6 M), C (4 M), and D (2 M), each maintaining the same buffer composition. Finally, Buffer E, which contained no urea, was used to complete the refolding process. Additionally, Buffer D and Buffer E were supplemented with a redox system consisting of 1 mM of oxidized and 1 mM of reduced glutathione to promote the correct formation of disulfide bonds, critical for the functional conformation of the protein. The dialysis process ensured that the MPT64 protein was gradually returned to its native state, ready for subsequent purification steps.
For the purification of MPT64 protein, affinity chromatography was utilized.[21] Briefly, the dialyzed pellet containing overexpressed MPT64 was loaded onto a chitin affinity column due to the intein tag including chitin binding domain which allows specific binding. After washing the column to remove unbound and loosely bound contaminants, on-column cleavage was induced by cleavage buffer containing dithiothreitol (DTT) (20 mM Tris-HCl (Sigma-Aldrich, USA; Cat# T1503), 500 mM NaCl (Merck, Germany; Cat# 106404), 50 mM DTT (Thermo Scientific, USA; Cat# P2325)), which specifically cleaves at the intein, releasing the target MPT64 protein. The purity of the eluted protein was verified by SDS-PAGE, confirming the effectiveness of the purification process.
Post-expression analysis was carried out using SDS-PAGE and Western blotting to assess the expression level and solubility of the recombinant MPT64 protein. For this purpose, protein samples from various steps of the purification process were first separated by SDS-PAGE using the same gel concentration as previously described. Following electrophoresis, the gel was equilibrated in 1X transfer buffer (Bio-Rad, USA; Cat# 1610734), and proteins were transferred to a PVDF membrane (Bio-Rad, USA; Cat# 170-4156). The membrane was activated in methanol for 2 minutes and then incubated in 1X transfer buffer for 10 minutes. The transfer was conducted in ice-cold 1X transfer buffer under constant stirring at +4°C for 2 hours at 50 V. Following transfer, the membrane was blocked with 5% non-fat dry milk (Bio-Rad, USA; Cat# 170-6404) in 1X TBST (Tris-buffered saline with Tween-20) for 1 hour at room temperature. The primary antibody, anti-CBD monoclonal antibody (NEB, USA; Cat# E8034), was diluted 1:1000 in 5% non-fat milk and incubated with the membrane overnight at +4°C. After incubation, the membrane was washed three times with 1X TBST (prepared with 1 M Tris-HCl pH 7.4 (Sigma-Aldrich, USA; Cat# T1503), 5 M NaCl (Merck, Germany; Cat# 106404), and 1% Tween-20 (Sigma-Aldrich, USA; Cat#5727)). The membrane was then incubated with
HRP-conjugated anti-mouse secondary antibody (Cell Signaling Technology, USA; Cat# 7076S), pre-diluted 1:5000 in 5% non-fat milk, for 1 hour at room temperature. Following further washes with 1X TBST, protein bands were visualized using ECL reagent (Thermo Scientific, USA; Cat# 32132) and images were captured with a ChemiDoc imaging system (Bio-Rad, USA).
Following purification, the MPT64 protein was concentrated and lyophilized for storage and further use. Lyophilization involved freezing the purified protein solution followed by reducing the pressure and adding heat to sublimate the ice directly into vapor, leaving behind a dry powder of pure MPT64 protein. This method is particularly useful for preserving the protein’s stability and activity over extended periods.
Capilla TB-Neo Strip Test
The functionality of the purified MPT64 protein was assessed using the Capilla TB-Neo strip test (Laus, CATB0870), which is designed to detect specific antigens related to Mycobacterium tuberculosis.[22] This rapid diagnostic test provided a qualitative result on the presence of active tuberculosis antigens in the sample, thus confirming the biological activity of the purified MPT64 protein.
Results
Isolation of Mycobacterium tuberculosis H37Ra DNA
DNA obtained from extraction of Mycobacterium tuberculosis H37Rawas measured as 17,1 ng/µL by NanoDrop 2000C and used as template for PCR.
Amplification of mpt64 Gene
PCR products obtained from amplification of mp64 for pTXB1 and pTYB21 were run on gel electrophoresis. The amplicon length of mpt64 for cloning into pTXB1 was as 714 bp with an annealing temperature at 60°C as shown in Figure 1 and for cloning into pTYB21 was obtained as 720 bp with an annealing temperature at 62°C as shown in Figure 2., which was expected.

Figure 1: PCR products for cloning into pTXB1 run in electrophoresis gel. Expected amplicon length was shown in the red circle. M: Marker; 1: Annealing temperature of 60°C for PCR; 2: Annealing temperature of 72°C for PCR; 3: Negative control of PCR.

Figure 2: PCR products for cloning into pTYB21 run in electrophoresis gel. Expected amplicon length was shown in the red circle. M: Marker (3000 bp); 1: Annealing temperature of 62°C for PCR; 2: Negative control of PCR; 3: Annealing temperature of 75°C for PCR; 4: Negative control of PCR.
Cloning of Target Gene in E. coli ER2566
In order to clone mpt64 into pTXB1,amplified mpt64 and pTXB1 were digested by SapI and NdeI. Digested fragments of mpt64 (689 bp) shown in red and pTXB1 (6664 bp) shown in blue were run on gel electrophoresis to confirm digestion as shown in Figure S1. For cloning into pTYB21 vector,amplified mpt64 and pTYB21 were digested by Sap1 and Pst1-HF. Digested fragments of mpt64 (691 bp) shown in red circle and pTYB21 (7451 bp) shown in blue circle were run on gel electrophoresis to confirm digestion as shown in Figure S2.Then, digested fragments were used in ligation in different Vector: Insert (V:I) ratio such as 1:3; 1:5; 1:10. After ligation, plasmids were transferred into bacterial cells. Then, bacterial cells are spread on the LB agar plates and incubated at 37oC overnight. Bacterial colonies (Figure S3 and Figure S4) were screened by PCR to detect colonies carrying the MPT64 gene. Amplicons obtained from colony PCR were run on the agarose gel electrophoresis. Colonies of bacteria having mpt64 in pTXB1 and pTYB21 shown in Figure S5 and Figure S6, respectively. Confirmed colonies were 12 out of 33 colonies for pTYB21 (# 1, 2, 5, 6, 20, 21, 22, 23, 25, 30, 31, and 32), whereas 15 out of 25 colonies for pTYB21 (# 3, 4, 7, 8, 9, 10, 11, 12, 13, 14, 18, 20, 21, 24, and 25). For each different vector, one of the PCR- verified colonies was selected. The presence of the MPT64 gene was confirmed by Sanger Sequencing using purified plasmids.
Expression of MPT64 Protein
In E. coli ER2566 with pTXB1 vector
E. coli ER2566 containing pTXB1 which has both without and with MPT64 gene was grown in LB Broth and protein induction was done using IPTG. After resuspension of cell pellet, the mixture was centrifuged. Supernatant which is the soluble protein fraction and pellet which is the inclusion body fraction were separated. In order to compare addition of IPTG to the expression, uninduced culture was grown simultaneously. Uninduced pellet and supernatant were shown as “-IPTG” and induced culture samples were shown as “0.8 mM” in Figure 3. SDS-PAGE gel was run and then stained with Coomassie blue as shown in Figure 3.

Figure 3. Image of SDS-PAGE gel stained with Coomassie blue. E. coli ER2566 (no having plasmid vector); pTXB1 (no having MPT64 gene); Colony 5 (having pTXB1 carrying MPT64 gene). No IPTG (-IPTG); With 0.8 mM of IPTG (0.8 mM). The red circle indicates MPT64 expressed.
The expected product for MPT64 fused with intein tag was not obtained even though intein was visible when expressed by E. coli ER2566 containing only pTXB1 as shown with red circle in Figure 3. In order to increase expression, different expression conditions were experimented and visible bands could be obtained after 16 hours of expression at 230C by silver staining (Figure 4).

Figure 4. Gel image of MPT64 fused with intein tag being visible after silver staining. MPT64 bands are in the red rectangle. Marker (M); Pellet with no-induction (-P); Pellet with induction (P); Supernatant with no-induction (-S); Supernatant with induction (S).
Western blotting was conducted to analyze MPT64 protein expression in two different conditions such as 18 hours at 15°C (cold condition) and 16 hours at 23°C (room temperature) (Figure 5). The primary antibody, specific to the intein tag, enabled the identification of the protein+tag complex at 52 kDa. In cold conditions, protein expression was observed in both soluble and insoluble fractions, with and without the addition of IPTG. At room temperature, the presence of IPTG slightly increased the amount of tag in the insoluble fraction and decreased it in the soluble fraction.

Figure 5. Image of Western blot analysis for MPT64 expression at cold condition and room temperature condition. Marker (M); Pellet with no-induction (-P); Pellet with induction (P); Supernatant with no-induction (-S); Supernatant with induction (S).
In E. coli ER2566 with pTYB21 vector
E. coli ER2566 containing pTYB21 which has both without and with MPT64 gene was grown in LB Broth and protein induction was done using IPTG. Also, uninduced cultures were grown simultaneously. The expression of protein+intein tag (80 kDa) and intein tag only (56 kDa) were compared in SDS-PAGE image as shown in Figure 6. The Intein-tag without MPT64 was expressed better than one with MPT64 when compared.

Figure 6. Image of SDS-PAGE gel stained with Coomassie blue. pTYB21 (no having MPT64 gene); MPT64 (having pTYB21 carrying MPT64 gene). No IPTG (-); With IPTG (+). The red circle indicates only the intein-tag expressed, whereas the blue one indicates the intein-tag and MPT64expressed.
After successful expression of MPT64 fused with intein tag by inducing protein expression in E. coli ER2566, media optimization was done to improve expression. As given in Figure 7 below, 6 different media were used. As brain-heart infusion broth showed improvement on expression of MPT64 as seen in BH lane of Figure 13, other media trials were not as effective as this. Previously used LB broth media was from Sigma Aldrich, the product obtained by using this media was shown in L1 and changing brand resulted in less or no product which could not be seen in the gel image either in soluble or insoluble part (L2).

Figure 7. Image of SDS-PAGE gel stained with Coomassie blue. M: Marker; MH: Mueller Hinton Broth; TS: Tryptic Soy Broth; B: Brucella Broth; BH: Brain-Heart Infusion Broth; L1: LB Broth; L2: LB Broth (Different Brand).
Using the enriched BHI medium, the samples obtained as a result of expression were run on 12% SDS PAGE. Accordingly, the expression level was very similar to the production with standard BHI and the protein obtained was in the insoluble fraction as well (Figure 8).

Figure 8. Image of SDS-PAGE gel stained with Coomassie blue. Marker (1); Whole bacterial cell homogenized (2); Supernatant (3); Pellet (4); Marker (5).
Experiments in E. coli BL21(DE3) Rare bacteria in the enriched BHI medium with pTYB21 vector having MPT64 gene did not yield successful expression (Figure 9).

Figure 9. Image of SDS-PAGE gel stained with Coomassie blue. Marker (1); Whole bacterial cell homogenized (2); Supernatant (3); Pellet (4); Marker (5).
According to all these expression results, the production of a large volume of recombinant MPT64 for purification was continued with standard BHI.
Purification of MPT64 Protein
After the expression of MPT64 was confirmed and the optimal media selected, a 500 mL culture of the colony was induced with 0,4 mM IPTG. The cell pellet, weighing 2.2 g, was resuspended in 20 mL of column buffer, forming inclusion bodies. The pellet was solubilized using 20 mL of lysis buffer containing 8 M urea (Merck, Germany; Cat# 57-13-6), 20 mM Tris-HCl pH 8.5, and 500 mM NaCl. A volume of 19 mL of this solubilized fraction was subsequently dialyzed against 200 mL of stepwise dialysis buffers. The dialysis was performed sequentially in five stages: Buffer A (8 M urea, 20 mM Tris-HCl pH 8.5, 500 mM NaCl); Buffer B (6 M urea, 20 mM Tris-HCl pH 8.5, 500 mM NaCl); Buffer C (4 M urea, 20 mM Tris-HCl pH 8.5, 500 mM NaCl); Buffer D (2 M urea, 20 mM Tris-HCl pH 8.5, 500 mM NaCl, 1 mM oxidized glutathione (Gold Biotechnology, USA; Cat# G-060-1), and 0.1 mM reduced glutathione (Gold Biotechnology, USA; Cat# G-275-25)); and Buffer E (20 mM Tris-HCl pH 8.5, 500 mM NaCl, 1 mM oxidized glutathione (Gold Biotechnology, USA; Cat# G-060-1), and 0.1 mM reduced glutathione (Gold Biotechnology, USA; Cat# G-275-25)). At the end of dialysis, 28 mL of protein mixture was obtained.
At the end of dialysis, 28 mL of protein mixture was obtained. This mixture, totaling 27 mL, was used in the purification process, resulting in approximately 25 mL of eluted fractions.
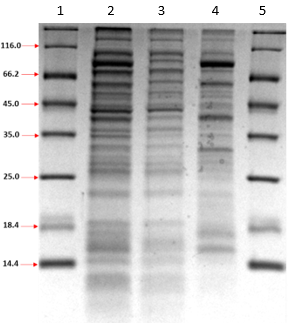
Samples from the culture and purification stages were analyzed using SDS-PAGE (Figure 10). In Figure 16, the intein+MPT64 fusion was clearly visible in the CP (cell pellet) sample. Post-treatment, the amount of intein+MPT64 fusion in the pellet decreased, and the bands in the dialyzed sample (D) and the flow-through sample (FT) became less distinct compared to CP. Most of the protein complex was retained by the chitin column itself, as shown in the column sample (C) prior to the addition of cleavage buffer. After the immediate introduction of cleavage buffer containing DTT, no change in band intensity was observed, as noted in the DTT Wash (DW) lane. Following 40 hours of incubation, the eluted protein was collected in fractions, with samples from F1, F3, F5, F7, and F9 run on a SDS PAGE. The eluted sample with the stripped buffer, by washing with a 0,3 M NaOH solution, demonstrated the low efficiency of the purification process.

Figure 10. Image of SDS-PAGE gel for expression and purification samples stained with Coomassie blue. CP: Cell Pellet; S: Supernatant; D: Dialyzed Pellet; FT: Flow Through; W: Wash; C: Chitin Before Cleavage; DW: DTT Wash; F: Fraction Eluted; St: Stripped W/NaoH.
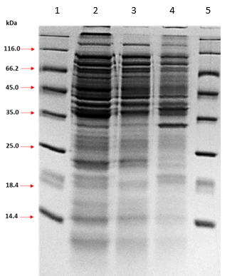
Fractions obtained from the purification process were collected into a tube. The total amount of protein was obtained by freeze-drying the tube. The purified protein powder form was weighed 0,88 g. Dried MPT64 was resuspended in 4 mL of distilled water to obtain a concentrated protein solution.
Western blot analysis was used to confirm MPT64 protein expression, as well as from the purification process (Figure 11). The primary antibody targeted only the intein-tag, highlighting the expression and purification levels of the fusion protein, which had a final size of 80 kDa. Both the intein+MPT64 fusion and the intein-tag alone, visible in the cell pellet (CP), were expressed with the tag slightly more distinctive than the fusion. After dialysis, the dialysis sample (D) and the flow-through (FT) from the chitin column had similar levels of expression, indicating a low level of purification. Washing the column post-loading did not show any tag or protein presence in the wash sample (W). The eluted MPT64 protein (M) couldn’t be detected because the antibodies were specific for the intein-tag. The column was stripped by using a 0.3 M NaOH stripping solution, and the sample collected (St) confirmed the presence of residual intein+MPT64 complexes as well as more intensive intein-tag compared to CP. It means the amount of intein-tags were increased after cut.

Figure 11. Image of Western blot analysis for expression and purification MPT64. Cell pellet (CP); Flow-trough (FT); Wash sample (W); Eluted MPT64 protein (M); Elution with the stripped solution (St).
Capilla TB-Neo Strip Test
The Capilla TB-Neo strip test was used to verify the presence of MPT64 protein. For the negative control, only column buffer was used, which resulted the negative as it contained no MPT64 protein. The eluted fractions from the purification process were also tested using the strip test, as shown in Figure 12. Stronger positive bands were seen in the first fractions, which decreased in subsequent elutions, proportional to the amount of MPT64 protein.

Figure 12. Image of Capilla TB-Neo strip tests done for the column buffer and different fractions such as the fraction 1, 11, and 30.
After lyophilization and resuspension of dried protein, the concentrated MPT64 was also confirmed on the strip test. The positive band as shown in Figure 13 was much more intense compared to single fraction eluted.

Figure 13. Image of Capilla TB-Neo strip tests done for purified MPT64 protein.
Discussion
MPT64, one of the immunogenic proteins of M. tuberculosis, is very important for both diagnosis and treatment of tuberculosis. Obtaining these proteins from the culture medium of M. tuberculosis is not very practical due to both the slow growth of the bacteria and the lack of sufficient purity.[23] Therefore, the production of MPT64 proteins with high efficiency and purity is of great necessity.
Studies on recombinant production of MPT64 proteins in the literature are conducted in two different approaches. The first one is related to the production of this protein in M. smegmatis bacteria, which is another mycobacterium species but can grow in 3 days, which is much shorter than M. tuberculosis.[24] However, this study also has limitations, especially for in vitro applications, due to the need for a 3-day culture of the bacterium and the possibility that lipoarabinomannan (LAM) molecules that make up the mycobacterial cell wall may come as impurities.[24] The second approach involves the production of this protein in E. coli bacteria, which grows very rapidly and is widely used in biotechnology.[25-33] However, unlike in M. smegmatis, the production of proteins in this bacterium is inclusion body. This requires an additional refolding process to refold the protein and make it functional. In studies based on this approach in the literature, different vectors have been used for the expression of proteins, but to our knowledge, this is the first time an intein-tagged vector has been used in this study. Other studies have investigated affinity-based purification steps (such as the use of nickel beads) as well as chromatographic methods based on the use of expensive instruments or passive elution of proteins from gels.[25-33] The elution of the recombinant proteins produced from affinity columns such as nickel beads requires an additional step due to the use of an enzyme such as TEV protease, which raises concerns regarding the removal of this enzyme in terms of impurity. It will be especially important to produce such proteins with the highest purity when they are planned to be used inside the body.
In this study, we investigated the recombinant production of intein-tagged fusion MPT64 proteins in E. coli, which have not been previously reported in the literature and can self-cleave in the presence of reducing agents such as DTT. In this context, the roles of two different vector systems, which are pTXB1 and pTYB21, in the production of MPT64 proteins were investigated. These vectors were chosen due to their intein tags, which allow them to be cleaved only with DTT without the need for an additional enzyme such as TEV protease, and thus to obtain a purer recombinant MPT64 protein.
Despite this important innovative approach, the use of this system for the recombinant production of MPT64 proteins was met with some challenges. The first of these is that the amount of expression is very low when using the pTXB1 vector. This may be because in this vector the intein tags are at the C end of the fusion protein. Therefore, expression starts with recombinant MPT64 proteins. The start codon for MPT64 proteins is GTG. No codon optimization was performed in this study; if it had been, methionine would have been chosen as the optimal start codon for these sequences in E. coli, whereas GTG encodes valine. This implies a mismatch of the start codon for the expression of this foreign protein in E. coli. The low expression level may have been due to this reason. It was reported that a similar situation was encountered in the recombinant production of glutamine synthetase enzyme of M. tuberculosis and this codon was replaced with ATG encoding methionine.[34]
To overcome this problem, we cloned into the pTYB21 vector for MPT64 expression. This vector, unlike the other one, contains the intein tag at the N terminus and therefore expression starts with this tag. At the end of this study, as expected, a much more efficient expression was obtained compared to the pTXB1 vector. Different expression conditions, including adjustments to induction timing, temperature, and IPTG concentrations, were also investigated in order to increase the amount of recombinant protein obtained. Additionally, the growth medium was varied to determine the optimal conditions that supported higher expression levels.
In addition to the traditional LB medium, the effects of other media commonly used in microbiology such as Mueller-Hinton Broth, Tryptic Soy Broth, Brucella Broth, Brain Hearth Infusion (BHI) Broth on expression were investigated. Of these, the yield in BHI medium was the highest. In some studies, in the literature, it is reported that glycerol and MgCl2 increase the expression efficiency in recombinant protein production. [35-36] For this purpose, BHI medium was enriched by adding both glycerol and MgCl2. In addition, peptone and tryptone were added to the medium to increase amino acid enrichment to a total of 3%. As observed on the gel images, these additives did not significantly change the expression level, within a 5 h incubation period, compared to standard BHI. In order to eliminate the limitations that could be caused by the lack of codon optimization, the pTYB21 vector was also transferred to E. coli BL21(DE3) Rare bacteria and expression experiments were investigated separately in enriched and standard BHI media. However, the expression level remained quite low. This may be related to the fact that the bacterium is also involved in the production of rare tRNAs, causing the recombinant MPT64 protein to be expressed at a low level, which is already not very efficient. In all these media, recombinant proteins were always obtained as inclusion bodies, which is consistent with other results in the literature.[25-33] Experimental studies on the solubilization of inclusion bodies in a denaturant followed by refolding with a gradual decrease in the amount of urea were performed and the recombinant proteins were confirmed using a lateral flow assay based on the use of MPT64-specific antibodies. Although the presence of MPT64 was detected, further functional validation assays were not performed in this study. Future studies should include additional functional characterization methods such as enzyme-linked immunosorbent assay (ELISA), macrophage activation assays, or delayed-type hypersensitivity skin tests to better evaluate the biological activity and diagnostic potential of the purified MPT64 protein.
The purification steps of the recombinant proteins by passing them through a chitin-binding column were very poor. The amount of protein recovered was very low. These results showed that chitin binding purification is not very suitable for recombinant proteins obtained with inclusion bodies, especially for MPT64 proteins.
Despite the ability of the IMPACT system to simplify purification through intein-mediated cleavage, the overall recovery yield obtained from chitin affinity chromatography was relatively low. Alternative purification strategies could be considered to improve yield and process robustness. Immobilized metal affinity chromatography (IMAC), including Ni-NTA resin-based His-tag purification systems, has been successfully employed for high-yield purification of recombinant proteins. Additionally, multi-step approaches such as combining IMAC with size exclusion chromatography (SEC) or ion exchange chromatography can offer enhanced purity and recovery. In cases where inclusion bodies are problematic, refolding protocols using detergents or additives could also be considered for future optimization of the recombinant MPT64 production system.
It was very difficult for the MPT64 inclusion bodies to be dissolved even at very high urea concentrations such as 7 M. Since the binding efficiency of the chitin is lower even at 4 M urea concentration, it is necessary to reduce the urea concentration. In this case, the protein must be folded in ultrafiltration tubes or dialysis tubes to remove urea. Refolding in the solution can be less efficient than on-column, as the formation of dimers or tetramers of proteins might also lead to their rapid aggregation, resulting in a large loss of protein during these refolding steps. Similarly, DTT induced intein digestion on a chitin binding column can only be performed in the presence of 0-2 M urea. Considering all these reasons, the use of chitin binding column due to urea requirements for insoluble proteins such as MPT64 had limitations. Since refolding could not be performed on the column, the yield was very low in our study.
Conclusion
In conclusion, in this study, both pTYB21 and pTXB1 vectors were used to express MPT64 protein. For MPT64 protein, the pTYB21 vector was successful and the expression efficiency was increased by improving the medium conditions. But still not a very high efficiency. Also, refolding could not be performed on the column because the chitin is incompatible with high urea concentrations. Refolding experiments in solution and subsequent purification on column resulted in very low yields due to high losses. Based on all the data presented in this study, new approaches should be developed to overcome two important problems associated with the use of these vectors: First, despite the use of E.coli BL21(DE3) Rare bacteria, the expression efficiency was still not increased much, but perhaps codon optimization could increase the expression efficiency. Secondly, expression could be increased by optimizing the conditions for the production of MPT64 proteins in soluble form, both in the production and extraction steps. Studies will continue in this respect for the production of this very important protein with high yields.
Acknowledges
A significant part of this study was published as the Master’s thesis of Ece Aksoy who is the first author. We thank Acibadem University for a research infrastructure support.
Author Contributions
Ece Aksoy: Writing of the first draft, all experimental studies.
Burcu Aksoy: Expression experiments in enriched BHI media and in E. coli BL21(DE3) Rare bacteria.
Tanıl Kocagöz: Methodology, conceptualization, analysis, final version of manuscript.
Erkan Mozioğlu: Methodology, conceptualization, analysis, final version of manuscript.
All authors have read and approved the final version of the manuscript.
Data Availability Statement
This study’s datasets are not publicly available, but can be provided by the Corresponding Author under a reasonable request.
Disclosure Statement
Funding
We thank TÜBİTAK for the research fund (TÜBİTAK-3501, Project Number: 121Z220) and also for the scholarship supports to Burcu Saygıner who is the graduate student in TÜBİTAK-1001, Project Number: 122Z733.
Conflict of Interest
The author Tanıl Kocagöz was a member of the Editorial Board of Bio&BioTech Journal at the time this article was written.
The author Erkan Mozioğlu was the Editor-in-Chief of Bio&BioTech Journal at the time this article was written.
The other authors declare that they have no conflicts of interest.
Ethics Committee Approval
N/A
References
- WHO. WHO Global Tuberculosis Report 2024, 29 October 2024. Last accessed date: 2025.03.10.
- Karakousis PC, Mooney G. The Journal of Infectious Diseases. 2025;231(1):3–9. https://doi.org/10.1093/infdis/jiae477.
- Trajman A, Campbell JR, Kunor T, Ruslami R, Amanullah F, Behr MA, Menzies D. The Lancet. 2025;405(10481):850–866. https://doi.org/10.1016/S0140-6736(24)02479-6.
- Zhu J, Wang H, Chen L. Int J Mol Med. 2025;55:36.
- Kocagöz T, Altın S, Türkyılmaz Ö, Taş İ, Karaduman P, Bolaban D, Yeşilyurt E, Öktem S, Aytekin N, Şınık G, Mozioğlu E, Silier T. Diagnostic Microbiology and Infectious Disease. 2012;72(4):350–357. https://doi.org/10.1016/j.diagmicrobio.2011.12.004.
- Zhang H, Guan W, Zhou J. Infect Drug Resist. 2025;18:483–493. https://doi.org/10.2147/IDR.S504632.
- Nayak S, Acharjya B. Indian Dermatol Online. 2012;3(1).
- Gualano G, Mencarini P, Lauria FN, Palmieri F, Mfinanga S, Mwaba P, Chakaya J, Zumla A, Ippolito G. Int J Infect Dis. 2019;80.
- Yang H, Kruh Garcia NA, Dobos KM. FEMS Immunol Med Microbiol. 2012;66(3).
- Lee E, Holzman RS. Evolution and current use of the tuberculin test. Clin Infect Dis. 2002;34(3):365–370.
- Seddon JA, Paton J, Nademi Z, Keane D, Williams B, Williams A. Thorax. 2016;71(10).
- Luca S, Mihaescu T. Maedica. 2013;8(1).
- Arora J, Kumar G, Verma AK, Bhalla M, Sarin R, Myneedu VP. Global Infectious Diseases. 2015;7(2).
- Stavri H, Bucurenci N, Ulea I, Costache A, Popa L, Popa MI. Indian J Med Res. 2012;136(5).
- SNAP. Primer Design Protocol. 2025. Last accessed date: 2025.06.21. Available from: https://www.snapgene.com/guides/introduction-to-snapgene.
- NEB. Double Digest Protocol. 2025. Last accessed date: 2025.06.21. Available from: https://www.neb.com/en/protocols/2021/03/24/double-digest-protocol-with-standard-restriction-enzymes.
- TAKARA. Ligation Protocol. 2025. Last accessed date: 2025.06.21. Available from: https://www.takarabio.com/products/cloning/ligation-enzymes/t4-dna-ligase.
- NEB. Transformation Protocol. 2025. Last accessed date: 2025.06.21. Available from: https://www.neb.com/en/protocols/2012/05/21/transformation-protocol.
- NEB. Expression Protocol. 2025. Last accessed date: 2025.06.21. Available from: https://www.neb.com/en/protocols/0001/01/01/simplified-expression-and-purification-protocol-e6901.
- ADDGENE. BL21(DE3)-R3-pRARE2. 2025. Last accessed date: 2025.06.21. Available from: https://www.addgene.org/26242/.
- NEB. IMPACT Kit – Affinity Purification Protocol. 2025. Last accessed date: 2025.06.21. Available from: https://www.neb.com/en/protocols/0001/01/01/affinity-purification-and-on-column-cleavage-e6901.
- Capilla. Capilla TB Neo Strip Test. 2025. Last accessed date: 2025.06.21. Available from: https://maxanim.com/content/capilia/tb/capilia-tb-neo-insert.pdf.
- Målen H, Søfteland T, Wiker HG. Scand J Immunol. 2008;67(3):245–252. https://doi.org/10.1111/j.1365-3083.2007.02064.x.
- Roche PW, Winter N, Triccas JA, Feng CG, Britton WJ. Clin Exp Immunol. 1996;103(2):226–232. https://doi.org/10.1046/j.1365-2249.1996.d01-613.x.
- Haga S, Yamaguchi R, Nagai S, Matsuo K, Yamazaki A, Nakamura RM. J Leukoc Biol. 1995;57(2):221–225. https://doi.org/10.1002/jlb.57.2.221.
- Geisbrecht BV, Nikonenko B, Samala R, Nakamura R, Nacy CA, Sacksteder KA. Protein Expr Purif. 2006;46(1):64–72. https://doi.org/10.1016/j.pep.2005.08.011.
- Chu TPJ, Yuann JMP. Biotechnology Appl Biochem. 2011;58(3):185–189. https://doi.org/10.1002/bab.26.
- Mohammadi Tashakkori M, Tabatabaei M, Tebianian M, Mosavari N. Iran J Vet Res. 2018;19(2):108–112.
- Kusuma SAF, Parwati I, Rostinawati T, Yusuf M, Fadhlillah M, Ahyudanari RR, Rukayadi Y, Subroto T. Heliyon. 2019;5(11):e02741. https://doi.org/10.1016/j.heliyon.2019.e02741.
- Ahmad A, Agus R, Massi MN, Handayani I, Karim H. J Phys Conf Ser. 2019;1341:032010. https://doi.org/10.1088/1742-6596/1341/3/032010.
- Aksoy E. Master Thesis. 2021. Expression and purification of recombinant MPT64 protein in Escherichia coli for skin test. Last accessed date: 2024.08.12. Available from: https://openaccess.acibadem.edu.tr/items/ab3697da-9ceb-474e-86d0-7ddf10633cc1/full.
- Fihiruddin F, Inayati N, Jannah R, Unsunnidhal L, Kusumawati A. Vet World. 2022;15(10):2376–2383. https://doi.org/10.14202/vetworld.2022.2376-2383.
- Kusuma SAF, Subroto T, Parwati I, Rukayadi Y, Fadhlillah M, Pardede RM, Berlian AV, Sabila G. J Adv Pharm Technol Res. 2022;13(3):171–176. https://doi.org/10.4103/japtr.japtr_25_22.
- Harth G, Horwitz MA. J Biol Chem. 1997;272(36):22728–22735. https://doi.org/10.1074/jbc.272.36.22728.
- Webb M. J Gen Microbiol. 1949;3(3):418–424. https://doi.org/10.1099/00221287-3-3-418.
- Kopp J, Slouka C, Ulonska S, Kager J, Fricke J, Spadiut O, Herwig C. Bioengineering (Basel). 2017;5(1):1. https://doi.org/10.3390/bioengineering5010001.
